牙冠安装后的护理同样重要。为了延长其使用使用年限,患者应保持良好的口腔卫生习惯,定时刷牙和使用牙线,跟定时到口腔医生处进行检查和清洁。那么威兰德全瓷牙冠可以用多久换?接下来中老年口腔的小编就带您一起去了解一下

威兰德全瓷牙冠怎么样
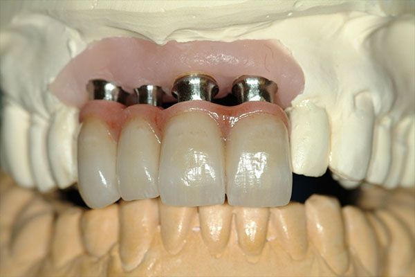
威兰德全瓷牙冠通常可以用3-5年,具体使用时间需要根据患者的口腔情况和使用情况进行判断。
烤瓷牙有缝隙怎么修复?
烤瓷牙有缝隙,指的就是烤瓷牙和旁边的天然牙之间存在缝隙。就是烤瓷牙作用是恢复患者这个牙体缺损的形态和功能。那么我们在烤瓷牙带入的时候,我们会经过详细的检查,要尽量恢复烤瓷牙冠和邻接天然牙齿的这种邻接的接触。然后恢复它的形态,让它和天然牙之间不存在缝隙。怎么会出现缝隙呢?一般情况下是我们在使用的过程中,烤瓷牙表面的这层瓷层,因为咬到硬物或者是用力过大,造成瓷层的崩脱。瓷层脱落以后,出现了烤瓷牙冠和天然牙齿之间的缝隙。如果一旦出现这种情况,我们只能通过把这个烤瓷牙冠拆除,然后重新制作来解决这个缝隙。所以就是建议广大的患者,做过烤瓷牙的牙齿,在使用的时候,要尽量避免咬硬物,太硬、太韧的,比如大榛子这类的坚果。尽量避免咬,这样让它减轻烤瓷牙的受力,烤瓷牙崩瓷的机会就会下降很多,一般就不会出现烤瓷牙和天然牙之间的这种缝隙。
威兰德全瓷牙冠多少钱一颗
威兰德全瓷牙冠通常可以用3-5年,具体使用时间需要根据患者的口腔情况和使用情况进行判断。
重度牙周炎不能种植牙。重度牙周炎会使患者出现牙痛或者牙肿等症状,所以患者需要及时到口腔科,采用抗炎药物和抗菌药物等方法进行治疗。而种植牙主要针对蛀牙或者牙齿缺损等症状的患者,所以患者先要在麻醉的状态下,将这些牙齿拔掉,最后再进行种植牙,如果患者有牙周炎,那么种植牙的时候,会加重病情,使牙神经受损等。
威兰德全瓷牙冠可以用多久
威兰德全瓷牙冠通常可以用3-5年,具体使用时间需要根据患者的口腔情况和使用情况进行判断。
不戴牙冠可能影响脸部肌肉的完美和平衡。牙齿的咬合能力相对于脸部肌肉的锻炼和发育至关重要。要是牙齿缺少或受损后不戴牙冠,脸部肌肉可能因缺乏足够的咬合刺激而逐渐收缩,影响脸部轮廓的美观度。牙冠修复可以帮助你节省时间和金钱。虽然牙冠修复的初期成本可能较高,但是考虑到它的耐用性和效果,长期来看,它是一种非常经济的修复方法。猜你喜欢:全瓷牙冠的寿命是多少年
阅读完上文,想必大家都对威兰德全瓷牙冠可以用多久换有了一定的了解,假如您有磨牙的习惯,应该寻求专业帮助。磨牙不只是会会使牙齿磨损,很有可能造成颌关节紊乱,长期下来可能要复杂的治疗。更多牙冠修复问题请点击下方在线咨询。
温馨提示:口腔出现问题,需要及时修复,不然会导致问题越来越严重,如果您有这方面的需求,您可以联系我:135XXXXXXXX(点击电话即可复制),或者在下方在线留言。
标签:多久(6565)可(1986)以用(964)全瓷(8180)换(485)牙冠(4714)威(76)兰德(81)新的(70)