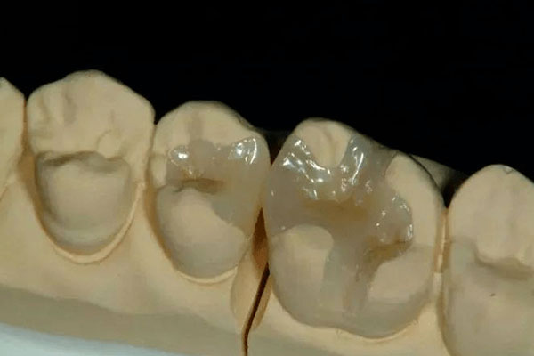
然而,即便是最先进的数字化牙冠也要牙医的专业技能来确保其跟口腔患者的其它牙齿完美匹配。颜色、形态和咀嚼面的细微调整都是得到理想效果的要点因素。那么国产和进口的牙冠哪个好?下面中老年口腔的小编就带大家一起去了解一下

全瓷牙冠国产价格
牙冠材料的话还是进口的比较耐用,但是国产的质量也可以正常使用的
种植牙的寿命大概多久
种植牙的寿命可以维持10~30年左右。患者出现牙齿缺损的症状,可以到正规的医院接受种植牙治疗。如果在接受治疗后口腔清洁到位,没有经常吃刺激性食物,也没有使得局部受到感染,种植牙可以维持30年左右。若是在接受种植牙治疗后没有做到局部的清洁护理,长时间使得局部受到刺激,可能会维持10年左右。在接受种植牙治疗后,一定要注意及时刷牙。
全瓷牙冠国产价格
牙冠材料的话还是进口的比较耐用,但是国产的质量也可以正常使用的
种植牙可能得囊肿吗
不会,种植牙会引起牙龈炎以及牙龈增生等问题,不会引起囊肿。牙囊肿是釉质器的星形网层发生囊肿样变性,含牙囊肿一般多发于年轻人群,年轻人一定要注意。牙囊肿会不断地长大,可能会直接长入上颌窦内。巨大的囊肿会破坏上颌窦导致口腔前庭、压槽等地方隆起。种植牙后如果出现不适建议及时到医院检查,如果出现囊肿,建议及时到医院进行手术治疗,以免病情加重。
牙冠国产的好,还是进口的好
牙冠材料的话还是进口的比较耐用,但是国产的质量也可以正常使用的
不戴牙冠会使牙齿变得脆弱,容易受到外力的损害,如断裂或破裂。牙冠修复对于保护牙齿的根部也具有重要作用。牙齿缺损后,其根部可能暴露在外,容易受到外界刺激和损伤。牙冠修复能够覆盖并保护牙齿的根部,减少其受到损伤的风险,维护牙齿的整体健康。相关推荐:全瓷牙冠多少钱一颗价格表2020年 您可能还想了解:后槽牙冠材料怎么选?中老年口腔批量修复方案,3天搞定坚固耐用牙冠
浏览本文,想必各位都对国产和进口的牙冠哪个好有了一定的了解,孕期妇女的口腔健康会影响到胎儿的健康。孕妇应该更加注意口腔卫生,防止孕期牙龈炎和牙周病的发生,这对母亲和婴儿都至关关键。有关牙冠修复问题,请打开下方在线客服咨询。
温馨提示:口腔出现问题,需要及时修复,不然会导致问题越来越严重,如果您有这方面的需求,您可以联系我:135XXXXXXXX(点击电话即可复制),或者在下方在线留言。
标签:的(42741)国产(407)好(8315)和(7784)牙冠(4565)好些(778)哪个(3076)然而(171)进口(284)
上一篇:国产全瓷牙冠有哪些牌子好(国产全瓷牙冠有哪些牌子好一点)
下一篇:没有了