当牙齿出现缺失、变色或畸形等问题时,牙冠可以成为一种理想的处理办法。它不只是能够恢复牙齿的形态和功能,还能让牙齿看起来更为自然而然美观。那么国产的牙冠和进口的牙冠有什么区别呢?以下中老年口腔小编带各位详细了解一下

全瓷牙冠国产价格
牙冠材料的话还是进口的比较耐用,但是国产的质量也可以正常使用的
烤瓷牙修复失败应该怎么办?
烤瓷牙如果通过了医生的严格检查,正规的牙体预备操作,很好的加工厂进行制作,成功率还是很高的,一般失败的比较少。烤瓷冠失败一般原因有几点:一个是本身的牙齿,牙冠短或者比较小,它的固位率差,医生没设计很好的固位形,所以烤瓷冠容易脱落。医生的原因是,牙齿磨得太多,牙齿变得很小、倾斜、很尖、固位率很差,所以容易脱落。还有一种是磨得太少,也可以引起牙冠本身的舌侧不美观,或者技工的制作金属层过厚,引起烤瓷牙的不美观,患者需要重新制作。这种情况烤瓷牙失败,必须重新制作。烤瓷本身的原因,本身患者有外伤,或者吃太硬的食物形起的崩瓷,这种烤瓷牙的失败,需要重新制作。如果吃很硬的食物,或者本身牙体的缺损很大,有可能牙齿不能保留,还需要拔除牙齿,进行种植牙或者烤瓷固定桥的修复。烤瓷牙预备的时候,为了留出修复体的空间,要磨去的牙体部分比较多,由于重做了牙冠的外形,所以牙尖不会与健康牙齿完全一致,所以咀嚼效率比嵌体要低一些,比正常的牙或者制作了嵌体的牙齿咀嚼效率低一些。
全瓷牙冠国产价格
牙冠材料的话还是进口的比较耐用,但是国产的质量也可以正常使用的
烤瓷牙可以修补吗
烤瓷牙一般是不可以补的,但是可以通过佩戴牙套,同时也可以换一个烤瓷牙。
但用烤瓷牙是要斟酌的,所以如果烤瓷牙坏了,可以到指定的医院进行询问,并在相关医生的指导下,想合理保护自己其他的烤瓷牙,同时平时要做好护理,少吃一些辛辣刺激性食物。
重做后的烤瓷牙能有效提高咀嚼力,恢复牙齿功能,牙齿的咬合力通过烤瓷牙直接传递到下颌,迅速传递并分散到较大的支撑骨中,能承受较大的咬合力,咀嚼功能明显优于其他传统活动。
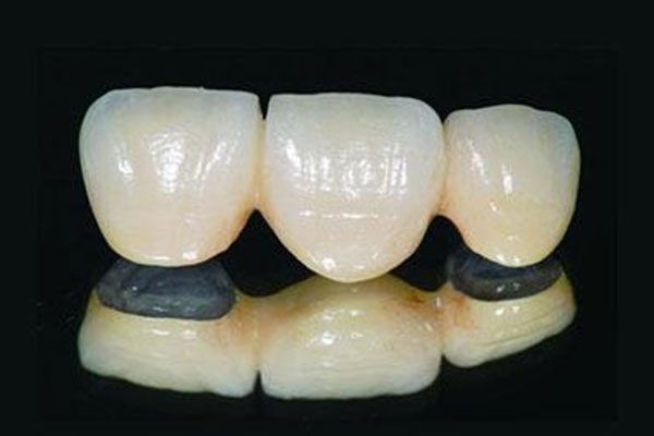
牙冠国产的好,还是进口的好
牙冠材料的话还是进口的比较耐用,但是国产的质量也可以正常使用的
没有牙冠的保护,牙齿容易受到酸、甜等食物的侵蚀,增多虫牙的发生可能。牙冠修复在恢复牙齿美观方面发挥至关重要的作用。受损的牙齿通常会导致牙齿形态不规整、色泽暗淡,经常会影响个人形象。牙冠修复可以按照患者的牙齿情形和需求,定制合适的牙冠,使修复后的牙齿看上去自然、美观,从而提升患者的自信心和笑容魅力。有关阅读:全瓷牙牙冠能用多久
通过上文,想必您都对国产的牙冠和进口的牙冠有什么区别呢有了一定的了解,牙线和漱口水是预防修牙的有效工具。牙线可以清除牙缝中的食物残渣和牙菌斑,漱口水可以杀灭口腔中的细菌,减少口腔问题的发生。有关牙冠修复问题,请点击下方在线客服咨询。
温馨提示:口腔出现问题,需要及时修复,不然会导致问题越来越严重,如果您有这方面的需求,您可以联系我:135XXXXXXXX(点击电话即可复制),或者在下方在线留言。
标签:的(44291)有(13048)什么(19812)牙冠(4899)区别(2583)和(8064)进口(335)呢(13075)国产(472)视频(6086)