伴随着科技的不断进步和口腔医学的变化,牙贴面修复技术也在不断更新和完善,未来的牙贴面修复将会更为靠谱、美观和舒适。那么全瓷贴面跟全瓷牙冠?接下来小编就带大家一起去了解一下

全瓷的牙冠多少钱一颗
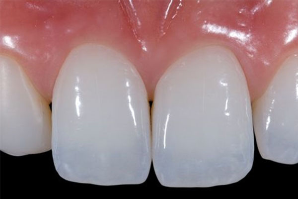
全瓷种植牙冠是一种由度陶瓷材料制成的牙冠,用于在人工植入物上重建缺失牙齿的外观和功能。
全瓷种植牙冠是通过外科手术将钛合金柱状体植入颌骨内作为“人造牙根”,在其上部安装瓷质牙冠以替代缺失的牙齿。该过程涉及一系列复杂的生物力学和组织学变化,如软硬组织的愈合与改建等。由于个体差异,部分患者可能会出现轻微不适,如咀嚼效率下降、食物嵌塞感、龈缘红肿等症状。
常规口腔检查包括X线检查、模型分析以及对患处的触诊和探诊。必要时还可能需要取模、比色等步骤来评估患者的口腔状况。全瓷种植牙冠的治疗通常分为两期:一期手术植入人工植体;二期手术安装永久性全瓷牙冠。具体流程需根据患者情况制定个性化方案。
在接受全瓷种植牙冠后,应避免咬硬物,保持良好的口腔卫生习惯,定期复诊以确保修复效果和长期稳定性。
洗牙到底好不好
洗牙对牙齿没有损害,只有好处没有害处。洗牙是牙周病的一个最基础的治疗,所有的牙周病的基础治疗都是从洗牙开始,它可以有效的治疗牙周疾病,阻碍牙周病的进一步发展,老百姓对于洗牙的误区,主要是洗牙后会出现牙齿酸痛和牙缝大。主要原因是因为洗牙晚了,让已经发生了牙槽骨吸收而导致牙龈萎缩的牙根暴露出来,引起牙齿敏感,牙缝变大,这并非是洗牙造成的。
洗牙主要是通过超声节时器机械作用在牙面,去除牙表面上的牙石、菌斑以及色素,能够起到清洁牙齿、延迟菌斑和牙石的再沉积。
定期洗牙,能有效的缓解牙龈炎症引起的牙龈出血,起到预防和治疗牙周疾病的作用,有助于保持良好的口腔卫生。有助于维护身体健康,所以定期洗牙是非常必要的。
后牙有必要做全瓷冠吗牙冠
全瓷种植牙冠是一种由度陶瓷材料制成的牙冠,用于在人工植入物上重建缺失牙齿的外观和功能。
全瓷种植牙冠是通过外科手术将钛合金柱状体植入颌骨内作为“人造牙根”,在其上部安装瓷质牙冠以替代缺失的牙齿。该过程涉及一系列复杂的生物力学和组织学变化,如软硬组织的愈合与改建等。由于个体差异,部分患者可能会出现轻微不适,如咀嚼效率下降、食物嵌塞感、龈缘红肿等症状。
常规口腔检查包括X线检查、模型分析以及对患处的触诊和探诊。必要时还可能需要取模、比色等步骤来评估患者的口腔状况。全瓷种植牙冠的治疗通常分为两期:一期手术植入人工植体;二期手术安装永久性全瓷牙冠。具体流程需根据患者情况制定个性化方案。
在接受全瓷种植牙冠后,应避免咬硬物,保持良好的口腔卫生习惯,定期复诊以确保修复效果和长期稳定性。
怎样给牙齿美白
牙齿美白的方法有冷光美白、家庭漂白术、瓷贴面等。临床上冷光美白是比较常用的一种方法,需要去医院由医生操作,效果尚可而且安全性相对较高,价格也十分低廉。家庭漂白是自己购买漂白产品后,在家中用漂白剂和托盘进行美白,见效缓慢,操作简便但安全性相对较低。瓷贴面是用修复的方法进行美白,相对于其它两种方式来说,修复效果很好。但需要磨除一部分牙体组织,而且修复费用是最高的,多用于个别牙齿的美白。
全瓷种植牙冠是什么
全瓷种植牙冠是一种由度陶瓷材料制成的牙冠,用于在人工植入物上重建缺失牙齿的外观和功能。
全瓷种植牙冠是通过外科手术将钛合金柱状体植入颌骨内作为“人造牙根”,在其上部安装瓷质牙冠以替代缺失的牙齿。该过程涉及一系列复杂的生物力学和组织学变化,如软硬组织的愈合与改建等。由于个体差异,部分患者可能会出现轻微不适,如咀嚼效率下降、食物嵌塞感、龈缘红肿等症状。
常规口腔检查包括X线检查、模型分析以及对患处的触诊和探诊。必要时还可能需要取模、比色等步骤来评估患者的口腔状况。全瓷种植牙冠的治疗通常分为两期:一期手术植入人工植体;二期手术安装永久性全瓷牙冠。具体流程需根据患者情况制定个性化方案。
在接受全瓷种植牙冠后,应避免咬硬物,保持良好的口腔卫生习惯,定期复诊以确保修复效果和长期稳定性。
牙齿不白可能会影响说话。牙齿在说话流程中发挥重要作用,牙齿颜色和形态的改变可能会影响说话的准确性,比如是在发出一些特定音素时。牙贴面美白是一种靠谱进一步的诊治方式,通过专业医师的操作,风险较低。有关阅读:微创贴面永久吗
阅读完上文,想必您都对全瓷贴面跟全瓷牙冠有了一定的了解,牙齿美白是许多人追求的美丽目标之一,它不仅可以提升个人形象,还能增强自信心。在平时工作中,我们可通过多种办法来达到牙齿的美白疗效。有关牙贴面美白问题,请打开下方在线客服询问。
温馨提示:口腔出现问题,需要及时修复,不然会导致问题越来越严重,如果您有这方面的需求,您可以联系我:135XXXXXXXX(点击电话即可复制),或者在下方在线留言。
标签:瓷牙(1637)哪个(3114)好(8476)随着(4071)伴(2558)全瓷(8180)冠(1667)贴面(4520)跟全(15)