牙龈出血,这个看起来微小的口腔对应症状,实则可能隐藏着大问题。它很可能是由于牙龈炎、牙周炎等口腔疾病的直接表现,也很可能是全身性疾病如糖尿病、高血压等的间接反映。因此,但凡看到牙龈出血,我们应立即就医,查明因素并积极诊治。那么刷牙出血用什么牙膏好点?接下来就带各位了解一下

刷牙出血用什么牙膏好?
可以使用丁硼乳膏刷牙治疗,最好到正规医院口腔科就诊做一下检查,根据检查选择治疗。
慢性牙周炎症状
牙周炎顾名思义就是牙齿的周围开始发炎的一种牙科疾病。急性的牙周炎如果得不到有效的控制的话就非常容易导致牙周炎出现恶化,转变成为慢性的牙周炎。慢性牙周炎往往会反复发作,牙齿会慢慢变糟糕,甚至是导致牙齿出现松动。本文将详细介绍一下慢性牙周炎症状有哪些。
一、牙龈开始变得红肿
当你发现你的牙龈很红肿,你就要注意是不是早起牙周炎了,早起的牙周炎牙龈红肿是第一个信号,之后牙龈会开始出血,牙周袋慢慢加深,早发现早治疗,对牙周炎非常关键。
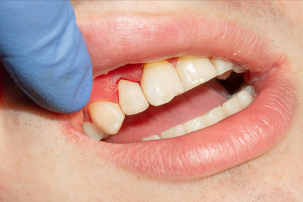
二、刷牙时候出血
很多人都是在牙齿出血之后才开始注意到牙周炎这个问题,一般是在刷牙的时候,或者咬东西的时候,比如吃苹果,咬一些坚硬的食物等等。有的时候,不刷牙不吃东西,也会流血,如果有这个情况的发生,一定要及时的去看医生。
三、出现口臭
随着牙齿出血的发生,牙周炎的发展,整个口腔的菌群开始变的不健康,口腔就会出现口臭很多人会用口香糖或者漱口水来清新口腔,但是这一点用处也没有,及时去医院,清除牙结石才可以根治你的口臭。
三、牙龈肿痛
等到牙周炎发展到一定的程度之后,还有可能会出现牙龈的酸痛和肿痛,这是说明牙龈已经被炎症刺激的很厉害了,一定要及时去正规的医院进行检查和治疗。
四、牙齿出现松动
牙周炎最后的结果就是牙齿松动,牙齿过早的脱落,而且还有可能会诱发其他的牙齿疾病,所以早发现早治疗很关键,牙周炎高发人群年龄越来越年轻,年轻朋友尤其要注意口腔疾病,不要小小年纪就没有了一口健康的牙齿哦!
本文详细介绍了慢性牙周炎的症状表现。如果你是一位特别关注自己的牙齿健康的人,如果你想要让自己的牙齿可以更加健康,那么你一定要警惕慢性牙周炎的出现,一旦是发现了慢性牙周炎的症状就需要及时采取措施来积极治疗才行哦。
刷牙出血用什么牙膏好
可以使用丁硼乳膏刷牙治疗,最好到正规医院口腔科就诊做一下检查,根据检查选择治疗。
孩子笑起来露牙龈怎么办
孩子笑起来露牙龈,可以通过正畸治疗或正畸正颌联合治疗。但在低龄儿童时,一般不采取干预的措施。露龈笑是多因素造成,大部分是因为牙齿位置偏低或上颌骨前部发育比较长引起的,并不会影响孩子功能,只是笑起来不好看。如果严重影响到牙齿的功能和排列,需要请医生进行治疗。
不刷牙,也牙龈出血,用中药牙膏还好点,
可以使用丁硼乳膏刷牙治疗,最好到正规医院口腔科就诊做一下检查,根据检查选择治疗。
牙龈出血可能是牙周病变化的前兆,而牙周病是一种慢性炎症,要是不加以控制,会慢慢破坏牙周组织,造成牙齿支持结构受损。这种损害是不可逆的,最终可能造成牙齿丧失,影响咀嚼功能和美观。儿童和青少年也应该看重牙龈出血的治疗,因为他们的口腔还在发育中。良好的口腔卫生习惯和立即治疗能够帮助他们建立健康的牙齿和牙龈基础。看了本文的人还看了:补完牙后牙龈出血是什么原因引起的呢吃什么药
阅读完上文,想必各位都对刷牙出血用什么牙膏好点有了一定的了解,对于一点特别人群,如孕妇、老年人等,应更加注意口腔健康状况。这个人群由于身体原因,更一不留神就显现牙龈出血等问题。所以,建议这个人群定时接受口腔检测,立即发现并处理口腔问题。有关牙龈出血治疗问题,请打开下方在线客服咨询。
温馨提示:口腔出现问题,需要及时修复,不然会导致问题越来越严重,如果您有这方面的需求,您可以联系我:135XXXXXXXX(点击电话即可复制),或者在下方在线留言。
标签:什么(19569)这个(1252)刷牙(2383)用(2338)牙龈(10488)出血(4143)牙膏(5613)好点(424)
上一篇:什么是活动性出血的患者护理常规
下一篇:刷牙出血能自愈吗