尽管蛀牙在全球界线内普遍有,但它是可以预防的。通过正确的口腔卫生习惯和每段时间就的口腔检查,人们可以显著下降患蛀牙的可能。那么三岁小孩蛀牙需要补吗多少钱?下面中老年口腔的小编就带各位一同去了解一下

小孩子补蛀牙要多少钱
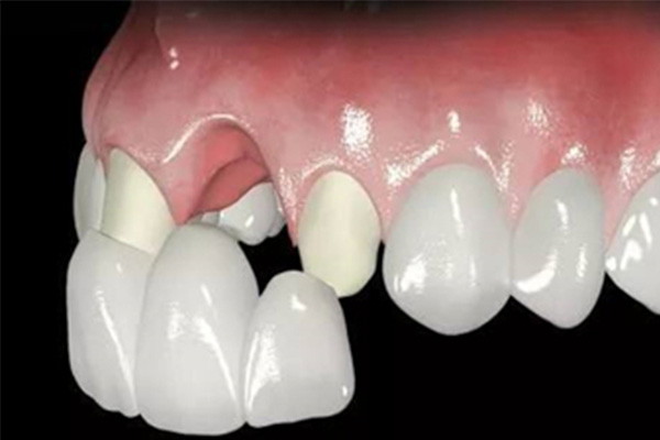
三岁小孩出现蛀牙应尽快进行修补,以防止病情进一步恶化。
三岁小孩蛀牙是由于口腔卫生不佳,食物残渣在牙齿表面形成酸性物质,导致牙齿脱矿,进而细菌侵入并产酸腐蚀牙齿组织。如果不及时治疗,可能会导致龋洞扩大,影响咀嚼功能,并可能引发疼痛。因此,建议家长带孩子到正规医疗机构进行检查和治疗,如牙齿充填术,以恢复牙齿的正常形态和功能。同时,家长应注意孩子的口腔卫生,定期刷牙,使用含氟牙膏,并减少含糖食物的摄入,以预防蛀牙的发生。
如果三岁小孩没有明显的症状,只是轻微的牙齿磨损或色素沉着,可以通过日常护理来改善,例如加强口腔卫生、定期洗牙等。
对于三岁小孩的蛀牙问题,家长应密切关注其口腔健康状况,避免过度依赖药物或其他非专业方法。若发现蛀牙迹象,应及时就医,接受专业的诊断和治疗。
不知道怀孕拔了两颗牙有影响吗
牙齿对于身体的重要性,大家都知道,但是很多人因为种种的原因牙齿不是很好,牙齿疼的感觉非常难熬,有些人会因为牙疼太过痛苦,去拔牙,但是拔牙后发现自己已经怀孕了,很担心对胎儿不好,那么不知道怀孕拔了两颗牙有影响吗?
不知道怀孕拔了两颗牙有影响吗
拔牙是患者口腔里面的牙齿出现了问题,部分蛀牙的患者也会通过拔牙来铲除蛀牙,也就是黑色的牙齿,不过拔牙的局部是需要进行麻药的,检查出来怀孕了,建议到牙科询问,麻药的药量,是否对胎儿有影响。拔牙会造成太多的问题了,出血、牙口肿胀、疼痛感等,这些都是拔牙过程中的弊端,不过一般来说问题并不是太大,可以留住孩子的,女性妊娠的过程是很长久的,到时候要定期做检查,查看胎儿动向。
怀孕拔牙要注意什么
孕妇拔牙只能局部麻醉,医生会选择适合孕妇的麻醉药,不能做全身麻醉,药物会影响胎儿发育。也不能不打麻醉,拔牙过程太疼苦,孕妈妈也可能因为太痛而流产,拔牙后需咬住棉球30-40分钟后才能吐出,咬住纱布时,若有口水请正常咽下。在2个小时内不要吃东西,当天要吃软食、流质或半流质。
不知道自己怀孕了,而且拔牙了,这个时候要注意去正规的医院查看一下,看看拔牙所用的麻药对于胎儿是不是有影响,可以根据医生的指导调理一下,孕妇一定要保持乐观的心态,这样对于宝宝的成长才会有好处,才能让宝宝健康出生。
小孩补蛀牙多少钱
三岁小孩出现蛀牙应尽快进行修补,以防止病情进一步恶化。
三岁小孩蛀牙是由于口腔卫生不佳,食物残渣在牙齿表面形成酸性物质,导致牙齿脱矿,进而细菌侵入并产酸腐蚀牙齿组织。如果不及时治疗,可能会导致龋洞扩大,影响咀嚼功能,并可能引发疼痛。因此,建议家长带孩子到正规医疗机构进行检查和治疗,如牙齿充填术,以恢复牙齿的正常形态和功能。同时,家长应注意孩子的口腔卫生,定期刷牙,使用含氟牙膏,并减少含糖食物的摄入,以预防蛀牙的发生。
如果三岁小孩没有明显的症状,只是轻微的牙齿磨损或色素沉着,可以通过日常护理来改善,例如加强口腔卫生、定期洗牙等。
对于三岁小孩的蛀牙问题,家长应密切关注其口腔健康状况,避免过度依赖药物或其他非专业方法。若发现蛀牙迹象,应及时就医,接受专业的诊断和治疗。
怎么能判断牙槽骨骨折
牙槽突骨折诊断不难,结合病史、临床检查和影像学检查,可以明确诊断,具体如下:
1、病史:可向病人或其他目击者了解外伤的力量、性质、大小、方向;
2、临床表现:常伴牙齿损伤,包括断牙或牙松动移位,当咬动一个牙时,骨折牙槽段上的几个牙整体移动,导致咬合关系错乱以及软组织撕裂;
3、影像学平片检查:曲面断层片因颈椎重叠遮挡,有时出现干扰性诊断,最好加拍体腔片,放大显示牙槽突局部骨折;锥形束CT,就是CBCT,也可以明确显示牙槽突骨折的具体细节,可以明确诊断和骨折部位,以便更好治疗。
三岁小孩蛀牙需要补吗
三岁小孩出现蛀牙应尽快进行修补,以防止病情进一步恶化。
三岁小孩蛀牙是由于口腔卫生不佳,食物残渣在牙齿表面形成酸性物质,导致牙齿脱矿,进而细菌侵入并产酸腐蚀牙齿组织。如果不及时治疗,可能会导致龋洞扩大,影响咀嚼功能,并可能引发疼痛。因此,建议家长带孩子到正规医疗机构进行检查和治疗,如牙齿充填术,以恢复牙齿的正常形态和功能。同时,家长应注意孩子的口腔卫生,定期刷牙,使用含氟牙膏,并减少含糖食物的摄入,以预防蛀牙的发生。
如果三岁小孩没有明显的症状,只是轻微的牙齿磨损或色素沉着,可以通过日常护理来改善,例如加强口腔卫生、定期洗牙等。
对于三岁小孩的蛀牙问题,家长应密切关注其口腔健康状况,避免过度依赖药物或其他非专业方法。若发现蛀牙迹象,应及时就医,接受专业的诊断和治疗。
龋齿不治疗很有可能影响邻牙的健康。当一颗牙齿出现龋齿时,要是不马上治疗,可能会波及到邻牙,使得邻牙也出现龋坏。这种连锁反应会加重口腔问题的很大程度上会水平。及时治疗龋齿有助于预防感染的进一步扩散。要是龋齿不及时治疗,细菌可能会通过牙根进入牙周组织,以致可能进入血液循环,使得更很大程度上会的全身性问题,如心内膜炎。看了本文的人还看了:4岁小孩蛀牙了怎么办
浏览本文,想必各位都对三岁小孩蛀牙需要补吗多少钱有了一定的了解,选择低糖或无糖的口香糖咀嚼也是一个预防蛀牙的小技巧。咀嚼无糖口香糖能够刺激唾液分泌,帮助清洁牙齿和中和口腔酸度。更多蛀牙问题请访问下方在线咨询。
温馨提示:口腔出现问题,需要及时修复,不然会导致问题越来越严重,如果您有这方面的需求,您可以联系我:135XXXXXXXX(点击电话即可复制),或者在下方在线留言。
标签:少钱(22344)需要(4228)多(14478)呢(12993)尽管(2348)补吗(703)小孩(5231)蛀牙(2761)三岁(833)