牙齿是人的关键器官之一,而蛀牙是牙齿健康的一大威胁。蛀牙的发生很可能是由于不良的口腔卫生习惯、饮食习惯等多种原因引起的。那么一颗龋齿治疗多少钱左右?下面中老年口腔的小编就带您一起去了解一下

补龋齿需要多少钱一颗?
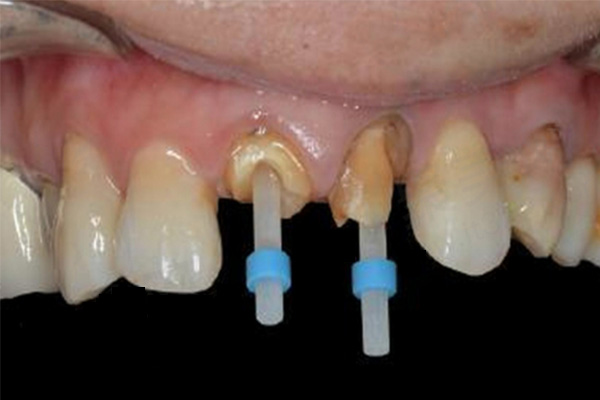
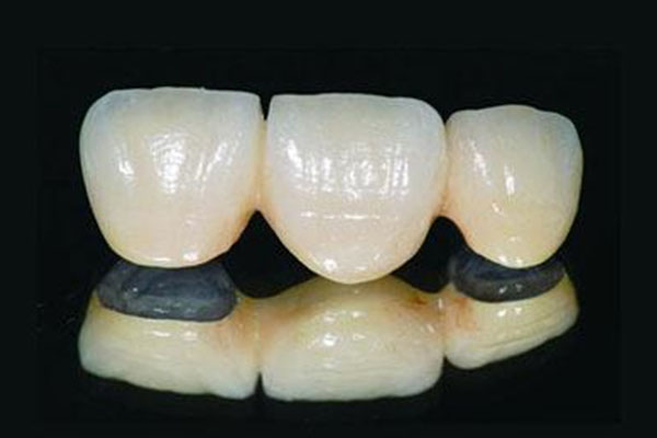
龋齿修复的价格因个体差异而异,通常取决于龋损程度和修复材料的选择。
龋齿修复是指通过填充或其他治疗手段来修复受损的牙齿结构,包括去除腐败组织并填补缺损部位。如果只是轻微的浅表性龋坏,没有引起牙髓炎或者根尖周炎等并发症,则修复费用相对较低。如果龋坏较深且已经侵犯到牙髓腔,需要进行根管治疗后再行冠部修复,则修复费用会相应增加;此外,如果患者存在咬合紧咬症或夜磨牙等不良习惯,导致牙齿磨损严重,也需要额外支付一定的费用。
需要注意的是,在选择修复方式时应考虑长期效果及维护成本,并避免过度依赖低价策略。同时定期进行口腔健康检查也是预防龋齿的重要措施之一。
龋齿是因为吃多了糖吗
龋齿可能是因为吃多了糖,但还与其他因素有关,例如牙釉质发育不完善、不注重口腔卫生等。糖本身并不会引起龋齿,但是糖吃多了以后,口腔当中会含有较多的糖分,细菌有了充足的营养物质,此时口腔当中的细菌会利用糖类大量繁殖,从而侵蚀牙齿引起龋齿。如果是牙釉质,因为是存在于牙齿最外层坚硬的组织,若牙釉质发育薄弱,对有害物质的阻挡力减弱,便会引起龋齿。如果不注重口腔卫生时,口腔当中的细菌也可利用食物残渣作为营养成分大量繁殖,从而引起龋齿。因此,龋齿是多种因素共同作用的结果,不单是吃多了糖引起的。
龋齿补牙多少钱一颗牙
龋齿修复的价格因个体差异而异,通常取决于龋损程度和修复材料的选择。
龋齿修复是指通过填充或其他治疗手段来修复受损的牙齿结构,包括去除腐败组织并填补缺损部位。如果只是轻微的浅表性龋坏,没有引起牙髓炎或者根尖周炎等并发症,则修复费用相对较低。如果龋坏较深且已经侵犯到牙髓腔,需要进行根管治疗后再行冠部修复,则修复费用会相应增加;此外,如果患者存在咬合紧咬症或夜磨牙等不良习惯,导致牙齿磨损严重,也需要额外支付一定的费用。
需要注意的是,在选择修复方式时应考虑长期效果及维护成本,并避免过度依赖低价策略。同时定期进行口腔健康检查也是预防龋齿的重要措施之一。
骨碎补可治疗儿童龋齿吗
骨碎补是对儿童龋齿是有治疗效果的。可以巩固儿童的牙齿,促进牙齿的增强。一般对于儿童浅龋齿能进行治疗,补牙中有一种片剂里面含有着骨碎补成分,从而能够进行杀菌固齿、控制牙龈炎、治疗牙齿松动的效果。然而骨碎补还可以补肾、活血止血。通常用于治疗中老年人的神经性耳鸣,以及改善肾虚所引起的久泻。同时还对斑秃、鸡眼有治疗效果。
龋齿修复多少钱一颗
龋齿修复的价格因个体差异而异,通常取决于龋损程度和修复材料的选择。
龋齿修复是指通过填充或其他治疗手段来修复受损的牙齿结构,包括去除腐败组织并填补缺损部位。如果只是轻微的浅表性龋坏,没有引起牙髓炎或者根尖周炎等并发症,则修复费用相对较低。如果龋坏较深且已经侵犯到牙髓腔,需要进行根管治疗后再行冠部修复,则修复费用会相应增加;此外,如果患者存在咬合紧咬症或夜磨牙等不良习惯,导致牙齿磨损严重,也需要额外支付一定的费用。
需要注意的是,在选择修复方式时应考虑长期效果及维护成本,并避免过度依赖低价策略。同时定期进行口腔健康检查也是预防龋齿的重要措施之一。
龋齿的耽误修复,是对口腔健康的漠视。伴随着时间的推移,龋齿病变会不断侵蚀牙齿,造成牙齿变得脆弱易碎。一旦受到外力冲击,很可能发生断裂或脱落,很可能会影响生活质量。诊治蛀牙还能改善咬合功能。蛀牙会破坏牙齿的结构,降低咬合效率,影响食物的消化和汲取。通过诊治,我们可以恢复牙齿的正常形态和功能,增加咬合效率,有利于身体健康。看了本文的人还看了:5岁宝宝龋齿怎么治疗最好
浏览完本文内容,想必大家都对一颗龋齿治疗多少钱左右有了一定的了解,吃完东西后快速漱口,有助于清除口腔中的食物残渣和酸性物质。有关龋齿修复问题,请进入下方在线客服了解。
温馨提示:口腔出现问题,需要及时修复,不然会导致问题越来越严重,如果您有这方面的需求,您可以联系我:135XXXXXXXX(点击电话即可复制),或者在下方在线留言。
标签:是(17932)一颗(11492)少钱(22344)多(14478)牙齿(62210)治疗(12654)左右(410)费用(3497)龋齿(1326)