种植牙是现代口腔医学的一项关键成果,它为那些失去牙齿的人提供了一种近乎自然而然的修复方式。跟传统的义齿相比,种植牙具有更好的稳定性、咀嚼功能和美观效果。那么到底种植牙好还是烤瓷牙好?接下来中老年口腔的小编就带大家一同去了解一下

烤瓷牙算种植牙吗
烤瓷牙7年了牙龈红肿可以换种植牙 。如果牙根稳固并且没有炎性分泌物溢出时,可以应用碘伏消毒后,在局麻下拔除烤瓷牙,进行种植修复。如果牙根周围存在较深的牙周袋,并且伴有脓液溢出,可以使用3%过氧化氢彻底冲洗,拔除患牙2到3个月后再进行种植修复。如果烤瓷牙的牙根接近下牙槽神经或上颌窦腔,通常不适合种植。
全口义齿的利弊 全口义齿的优缺点有哪些
全口义齿的优缺点如下:
1、全口义齿的缺点:体积较大,适应起来比较困难,有一定的异物感;依靠吸附在牙床上进行固位,使用过程中有一定的动度,若患者牙床状况不佳,可能会松脱;占据舌头活动空间,影响发音;初次佩戴的时候会有压痛,需要调改;咀嚼效率相对比较低;
2、全口义齿的优点:价格比较低廉,可以取下来清洗,比较方便清洁。
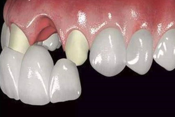
烤瓷牙换种植牙可以吗
烤瓷牙7年了牙龈红肿可以换种植牙 。如果牙根稳固并且没有炎性分泌物溢出时,可以应用碘伏消毒后,在局麻下拔除烤瓷牙,进行种植修复。如果牙根周围存在较深的牙周袋,并且伴有脓液溢出,可以使用3%过氧化氢彻底冲洗,拔除患牙2到3个月后再进行种植修复。如果烤瓷牙的牙根接近下牙槽神经或上颌窦腔,通常不适合种植。
种植牙应该挂什么科
想要种植牙的患者,若选择就诊的医院是大型三甲医院,就应该挂口腔种植科。如果是普通的医院,直接挂口腔科就可以。对于缺失牙齿的患者,种植牙是目前比较推荐的一种治疗措施,不会像传统镶牙一样,对原本健康的牙齿造成损伤。此外种植牙还具有坚固、耐用的优点。但是,需要注意的是,如果患者健康状态不佳,有严重的基础病或是凝血功能异常是不能进行牙齿种植。此外,长期服用抗凝类药物的患者,短时间内也是不能种植牙齿。
烤瓷牙7年了牙龈红肿可以换种植牙吗
烤瓷牙7年了牙龈红肿可以换种植牙 。如果牙根稳固并且没有炎性分泌物溢出时,可以应用碘伏消毒后,在局麻下拔除烤瓷牙,进行种植修复。如果牙根周围存在较深的牙周袋,并且伴有脓液溢出,可以使用3%过氧化氢彻底冲洗,拔除患牙2到3个月后再进行种植修复。如果烤瓷牙的牙根接近下牙槽神经或上颌窦腔,通常不适合种植。
缺牙不种植会影响说话和言语清晰度。牙齿在说话过程中起到关键作用,缺牙会造成说话不准确,影响日常交流和沟通。种牙相对提升患者的生活质量具有重要意义。它不仅恢复了患者的牙齿能力和美观度,还改善了他们的心理状态和社交能力。拥有健康的牙齿和自信的笑容,患者能够更为积极地参跟各种社会活动,体会更为美好的生活。相关推荐:种牙有风险吗?中老年口腔为您解析后遗症与副作用
浏览完本文内容,想必大家都对到底种植牙好还是烤瓷牙好有了一定的了解,牙周病是会使成人牙齿脱落的主要原因之一。及时医治牙周病,如定期洁牙和接受牙周医治,可以有效控制病情,防止牙齿因牙周病而脱落。更多种植牙问题请进入下方在线咨询。
温馨提示:口腔出现问题,需要及时修复,不然会导致问题越来越严重,如果您有这方面的需求,您可以联系我:135XXXXXXXX(点击电话即可复制),或者在下方在线留言。
标签:是(18149)到底(422)牙(32526)烤瓷(6113)还是(3423)种植(4735)一点(4236)牙好(577)