在考虑种植牙齿时,患者应该意识到这不光是一个简单的牙科程序,但是一个全面的解决流程,需要时间和耐心。那么兰州种植牙齿哪家医院好点?下面中老年口腔的小编就带各位一同去了解一下

牙齿种植医院哪家好点
1、种植牙价格是多少受品牌影响。不同品牌效果和做工不一样,治疗效果也有所差距,故种植牙价格是多少也有所不同。大家平时见到的种植牙品牌主要有:德国费亚丹种植系统、诺贝尔种植牙系统、奥齿泰种植牙系统等等。
2、建议先去当地比较权威正规的医院先检查一下,种植牙价格是多少受烤瓷牙冠也影响。烤瓷牙的种类可以有多种多样,比如烤瓷牙分为普通烤瓷牙、半贵金属烤瓷牙,贵金属烤瓷牙、全瓷牙等等,这导致种种植牙价格是多少有所不同。
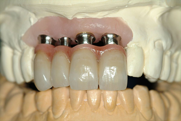
微创种植牙的优点
微创种植牙的优点有以下几个方面:
1、固位好:不使用传统镶牙的卡环或牙套,人工牙根、牙槽骨紧密结合,像真牙一样扎根在口腔里,具有很强固位力和稳定性;
2、美观:可以根据就诊者的脸型,其它牙齿形状和颜色制作牙冠,达到整体协调和美观的最佳效果;
3、功能强:能够很好恢复牙齿功能,咀嚼功能大大优于其它传统假牙;
4、不磨牙:依靠自身人工牙根进行修复,不用磨旁边的健康牙齿,对牙齿没有任何伤害,没有成功也可以取出以后待骨愈合后再做种植,或者改用其它修复方法;
5、操作简单:采用局部麻醉,创伤小,术后即可进食,几乎无痛苦。一般种植体植入术,只需要几十分钟至数小时即可完成。由于选用的是与人体相容性极好的生物材料,种植牙对人体不产生任何不良副作用;
6、舒适方便:不使用活动假牙必须的基托,没有异物感,非常舒适、方便,而且有利于保持口腔清洁、卫生。
深圳牙齿种植齿科医院哪个好点
1、种植牙价格是多少受品牌影响。不同品牌效果和做工不一样,治疗效果也有所差距,故种植牙价格是多少也有所不同。大家平时见到的种植牙品牌主要有:德国费亚丹种植系统、诺贝尔种植牙系统、奥齿泰种植牙系统等等。
2、建议先去当地比较权威正规的医院先检查一下,种植牙价格是多少受烤瓷牙冠也影响。烤瓷牙的种类可以有多种多样,比如烤瓷牙分为普通烤瓷牙、半贵金属烤瓷牙,贵金属烤瓷牙、全瓷牙等等,这导致种种植牙价格是多少有所不同。
种植牙可能伤到神经吗
种植牙可能会伤到神经的。比如在技术不到位的情况下还有就是医生在粘骨膜剥离时候损伤大或粘膜下剥离广泛的话是会伤到神经的,而且如果种植牙是放在后面的话,容易把神经破坏,所以为了保护神经,最好是种植在神经的前面,而且一定要去正规的牙科医院进行种植,而且种植后一定要保证口腔卫生,以防止出现感染,还有出现不适症状的话一定要及时去医院治疗。
深圳牙齿种植牙科医院哪里好点
1、种植牙价格是多少受品牌影响。不同品牌效果和做工不一样,治疗效果也有所差距,故种植牙价格是多少也有所不同。大家平时见到的种植牙品牌主要有:德国费亚丹种植系统、诺贝尔种植牙系统、奥齿泰种植牙系统等等。
2、建议先去当地比较权威正规的医院先检查一下,种植牙价格是多少受烤瓷牙冠也影响。烤瓷牙的种类可以有多种多样,比如烤瓷牙分为普通烤瓷牙、半贵金属烤瓷牙,贵金属烤瓷牙、全瓷牙等等,这导致种种植牙价格是多少有所不同。
缺牙未修复可能会使面部皮肤松弛。牙齿支撑着面部肌肉和皮肤,缺少牙齿会导致这个组织丧失支撑,进而表现松弛现状。保护牙槽骨:种植牙齿可以防止牙槽骨萎缩,保持牙槽骨的健康。有关阅读:做了种植牙能管多少年呢
通过阅读以上内容,想必各位都对兰州种植牙齿哪家医院好点有了一定的了解,孕期妇女的激素变化可能会影响牙龈健康,导致妊娠性牙龈炎,这可能会增多牙齿脱落的几率。孕妇应该加强口腔卫生护理,并按时到口腔医生处进行检查。更多种植牙齿问题请点击下方在线咨询。
温馨提示:口腔出现问题,需要及时修复,不然会导致问题越来越严重,如果您有这方面的需求,您可以联系我:135XXXXXXXX(点击电话即可复制),或者在下方在线留言。
标签:牙齿(63488)在(16870)医院(5986)哪家(833)种植(4735)好的(2501)好点(430)兰州(118)牙最(276)