在讨论种植牙时,我们不得不提其持久性和可靠性,这是它当牙齿取代方式受到欢迎的主要因素之一。成功的种植牙可以持续多年,乃至一生,假如实现适当的护理和维护。那么兰州种植牙医院排名?接下来小编就带大家一起去了解一下

牙周炎种植牙齿好不好
没有牙龈不能种植牙。
没有牙龈表明可能存在牙槽骨吸收严重、缺乏足够的骨量支持的情况,无法为种植体提供稳定的支撑,从而影响种植体的固位和稳定性,增加术后失败的风险。此外,没有牙龈也意味着无法对种植过程中的软组织损伤进行修复,可能导致愈合困难或感染等问题。因此,不具备种植牙的条件。
虽然没有牙龈直接导致了种植手术的难度加大,但并非绝对禁忌。在个别情况下,可能通过骨增量手术等技术手段来改善骨质不足的问题,进而实现种植目标。
未有牙龈者应谨慎考虑种植治疗,并在专业医生指导下选择合适的替代方案,如活动义齿或固定桥。同时,保持良好的口腔卫生习惯是至关重要的,以减少术后感染风险。
种植牙打桩后疼多久
种植牙打桩其实是植入人工牙根的部分,通常称为植入手术,也就是民间说的打桩。
这个手术如果骨头条件好,手术时间比较短,创口也很小,术后的疼痛可能跟拔牙差不多,就是拔牙的当天或者第二天有一点痛,吃一点消炎药或者去痛片就可以。
但是如果种植区的骨头条件不够,骨量不足,就需要进行人工植骨。植入的人工骨粉可能会有排异反应,植入的部位也可能会增加疼痛。
因为会取身体的自体骨和人工骨共同植入,创口会比较大,而且会增加口内或者其他地方的创口,疼痛感就会比较强,加上排异反应,所以术后的肿胀也会比较厉害,这个时间一般会持续一星期到十天左右。
一般需要进行消炎治疗,然后患者可以辅助吃去痛片,一般十天左右会消肿,疼痛也会消失。所以,不必太过担心,这都是比较小的手术。
牙龈萎缩后种植牙会掉吗
没有牙龈不能种植牙。
没有牙龈表明可能存在牙槽骨吸收严重、缺乏足够的骨量支持的情况,无法为种植体提供稳定的支撑,从而影响种植体的固位和稳定性,增加术后失败的风险。此外,没有牙龈也意味着无法对种植过程中的软组织损伤进行修复,可能导致愈合困难或感染等问题。因此,不具备种植牙的条件。
虽然没有牙龈直接导致了种植手术的难度加大,但并非绝对禁忌。在个别情况下,可能通过骨增量手术等技术手段来改善骨质不足的问题,进而实现种植目标。
未有牙龈者应谨慎考虑种植治疗,并在专业医生指导下选择合适的替代方案,如活动义齿或固定桥。同时,保持良好的口腔卫生习惯是至关重要的,以减少术后感染风险。
即刻种植牙有什么好处
即刻种植牙通常可以缩短手术的时间,也可以缩短手术的次数,还能够帮助患者早些恢复咀嚼功能,另外对于美观度有严格要求的患者,也可以通过即刻种植牙手术治疗,另外即刻种植牙还能够起到预防牙槽骨萎缩的作用。如果患者如果出现了外伤或者牙齿松动引起的掉牙现象,可以到医院的口腔科就诊,由医生根据患者的病情,采取即刻种植牙齿的方式治疗。
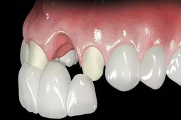
没有牙龈能种植牙吗
没有牙龈不能种植牙。
没有牙龈表明可能存在牙槽骨吸收严重、缺乏足够的骨量支持的情况,无法为种植体提供稳定的支撑,从而影响种植体的固位和稳定性,增加术后失败的风险。此外,没有牙龈也意味着无法对种植过程中的软组织损伤进行修复,可能导致愈合困难或感染等问题。因此,不具备种植牙的条件。
虽然没有牙龈直接导致了种植手术的难度加大,但并非绝对禁忌。在个别情况下,可能通过骨增量手术等技术手段来改善骨质不足的问题,进而实现种植目标。
未有牙龈者应谨慎考虑种植治疗,并在专业医生指导下选择合适的替代方案,如活动义齿或固定桥。同时,保持良好的口腔卫生习惯是至关重要的,以减少术后感染风险。
不种植牙会影响口腔的整体美观和能力,给人带来麻烦和难题。这种修复方式的特点在于它的可靠性。跟传统义齿相比较,种牙能提供更牢固的支持,让你的笑容更为自信。有关推荐:种牙贵还是矫正牙齿贵?中老年口腔批量种牙方案省心又省钱
阅读完上文,想必您都对兰州种植牙医院排名有了一定的了解,小孩在成长发育阶段应该尤其注意预防牙齿脱落。家长应教育孩子养成良好的口腔卫生习惯,并确保他们隔一段时间就接受牙科检查和医治。有关种植牙问题,请点击下方在线客服咨询。
温馨提示:口腔出现问题,需要及时修复,不然会导致问题越来越严重,如果您有这方面的需求,您可以联系我:135XXXXXXXX(点击电话即可复制),或者在下方在线留言。
标签:牙(32526)在(16870)医院(5986)种植(4735)前(599)十(412)排名(885)兰州(118)讨论(156)