在口腔修复领域,全瓷牙以其卓越的性能和美观度成为了行业的佼佼者。它使用领先的陶瓷用料制成,具有高强度、高韧性等特点,能完美替代缺失或损坏的牙齿。并且,全瓷牙还具有良好的生物相容性和耐磨性,能很长时间保持牙齿的健康状态。选择全瓷牙实行修复,相信是一种明智的选择。那么全瓷冠的牙体预备?下面中老年口腔的小编就带您一同去了解一下

全瓷冠牙套一颗牙大概多少钱
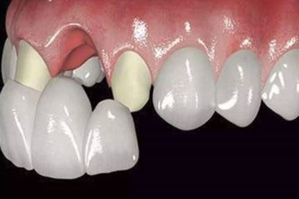
全瓷冠牙体预备一般可以使用圆柱形车针,圆柱形车针是一种比较常见的车针,主要是用于修补全瓷冠。
一颗假牙烤瓷牙的费用主要取决于牙齿的修复方式和所使用的修复材料。如果只剩下牙根了,则需要先对牙根进行桩冠修复,大概是1000元/颗,再进行冠修复,如果是整个牙齿都没有了,只需要把两旁的邻牙都进行牙体预备,做一个固定桥,最少需要做3颗烤瓷牙,才能够对缺失的牙齿进行修复。牙齿的修复材料主要分为金属烤瓷冠,还有非金属烤瓷冠。钴铬合金烤瓷冠,大概是1000-1500元/颗,全瓷冠大概是2300元/颗,国产二氧化锆烤瓷冠大概是3000元/颗,进口二氧化锆烤瓷冠,大概是3600元/颗以上。
全瓷牙贴面冠牙体预备
全瓷冠牙体预备一般可以使用圆柱形车针,圆柱形车针是一种比较常见的车针,主要是用于修补全瓷冠。
2颗门牙中间内部黑了能做烤瓷牙吗
两颗门牙中间内部黑了,要先进行治疗,然后才能做烤瓷牙。患者的牙齿中间内部黑了,可能是由于龋齿导致的,如果患者直接进行烤瓷牙的话,是不可取的,因为龋齿的范围会变大,有影响牙神经和导致尖根炎的风险。患者进行烤瓷牙,只是表面上,遮盖住了发黑的部位,并没彻底解决问题,所以建议患者在进行治疗之后,再做烤瓷牙。
全瓷冠牙体预备用什么车针
全瓷冠牙体预备一般可以使用圆柱形车针,圆柱形车针是一种比较常见的车针,主要是用于修补全瓷冠。
会使牙槽骨萎缩牙齿缺失后,牙槽骨会渐渐萎缩,影响假牙的佩戴和稳定性。全瓷牙修复在现代口腔医疗中演着极为关键的角色。它不单能够恢复牙齿的美观,还有助于维护口腔健康。跟传统的金属或塑料牙冠相比较,全瓷牙由于材料特性更接近天然牙齿,透光性好,色泽自然而然,能够更理想地融入口腔患者的微笑之中。相关阅读:牙齿贴瓷片可以卸下来吗
阅读完上文,想必各位都对全瓷冠的牙体预备有了一定的了解,减少使用牙齿做工具,如开瓶盖、咬硬物等,这些行为可能使得牙齿损害或断裂,增多修牙的几率。更多全瓷牙修复问题请打开下方在线咨询。
温馨提示:口腔出现问题,需要及时修复,不然会导致问题越来越严重,如果您有这方面的需求,您可以联系我:135XXXXXXXX(点击电话即可复制),或者在下方在线留言。
标签:的(43573)在(16707)口腔(7863)修复(3097)全瓷(8180)冠(1667)要求(231)预备(71)牙体(1130)