全瓷牙的色泽自然而然,可以跟真实牙齿媲美,让您的笑容更加自信。那么全瓷牙搭桥里面的牙会烂掉吗怎么办?接下来中老年口腔的小编就带各位一同去了解一下

做的烤瓷牙套里面的牙烂掉了怎么办
全瓷牙搭桥里面的牙可能会烂掉。如果患者的基牙形成大面积龋损,在牙体预备过程中没有彻底去净较软的腐蚀或变色牙体组织,残留的细菌可能会在牙冠内部繁殖,产生的酸性物质会破坏健康牙质,形成继发龋。如果全瓷牙冠与牙体组织之间存在缝隙,黏结剂可能会被唾液溶解,从而导致大量细菌侵入牙冠内部,持续腐蚀牙齿,就可能会造成牙体组织大面积腐烂。
患者该如何选择牙冠
牙冠是一种牙齿的修复方法,大部分情况就是在换牙进行了一个系统的根管治疗以后,或者说换牙由于龋坏缺损程度比较大,需要进行一个全冠的治疗。我们一般牙冠的材料现在分为三大种,一种是全金属冠,还有一种就是金属烤瓷冠,还有一种就是全瓷冠。从外观和色泽上来说,金属冠跟牙齿的颜色不一样,而金属烤瓷冠和烤瓷冠的和牙的颜色是一样的,但是金属烤瓷冠是由金属和瓷两部分构成的,它的内底是金属的基底,然后外部是瓷层,然后这样它就会有一些情况会造成一个结合的欠佳,造成瓷层的脱落。全瓷冠是全部由瓷材料造成了牙关,它不含金属,特点是很逼真,色泽很稳定,美学效果非常的好,但是它的磨损磨耗要比金属冠要差一些,同时它的费用相对比较高一点。一般的情况我们是在经济上能够接受的情况下,然后如果咬合关系可以接受,我们是尽量选择要叫全瓷冠,但是如果在后牙区局部咬合过紧,或者是有夜磨牙等情况的时候,它的合面磨损比较多,我们还是应该选择金属冠或者是带金属合面的烤瓷冠。
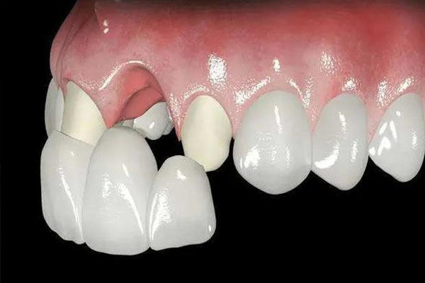
全瓷牙里面的基牙会腐烂掉吗
全瓷牙搭桥里面的牙可能会烂掉。如果患者的基牙形成大面积龋损,在牙体预备过程中没有彻底去净较软的腐蚀或变色牙体组织,残留的细菌可能会在牙冠内部繁殖,产生的酸性物质会破坏健康牙质,形成继发龋。如果全瓷牙冠与牙体组织之间存在缝隙,黏结剂可能会被唾液溶解,从而导致大量细菌侵入牙冠内部,持续腐蚀牙齿,就可能会造成牙体组织大面积腐烂。
烤瓷牙对做颈椎做核磁共振有影响吗
一般情况下,烤瓷牙对做颈椎核磁共振是有影响的。
烤瓷牙是可以佩戴在牙齿上的一种人造牙套,能够起到保护以及修复牙齿的作用。烤瓷牙对做颈椎做核磁共振一般情况下有影响,主要是因为做颈椎部位核磁检查的时候容易产生伪影,这样就会影响检查结果,导致检查数据有误。
做颈椎部位核磁共振检查的时候一定要对医生讲明,是否做过烤瓷牙或者心脏搭桥手术等,以免让最后的结果影响医生的诊断,从而造成误诊。
全瓷牙搭桥里面的牙会烂掉吗
全瓷牙搭桥里面的牙可能会烂掉。如果患者的基牙形成大面积龋损,在牙体预备过程中没有彻底去净较软的腐蚀或变色牙体组织,残留的细菌可能会在牙冠内部繁殖,产生的酸性物质会破坏健康牙质,形成继发龋。如果全瓷牙冠与牙体组织之间存在缝隙,黏结剂可能会被唾液溶解,从而导致大量细菌侵入牙冠内部,持续腐蚀牙齿,就可能会造成牙体组织大面积腐烂。
长时间不戴假牙有很大的可能对口腔内的软组织导致损伤。缺牙处的锐利边缘可能划伤口腔粘膜,引发疼痛和炎症。全瓷牙修复在差异化医治方面也有显著优势。医生可以根据顾客的具体需求和口腔状况,量身定制最适合的全瓷牙修复方式,得到差异化的医治疗效。相关阅读:全瓷牙套一颗一般多少钱一个
通过上文的阅读,想必各位都对全瓷牙搭桥里面的牙会烂掉吗怎么办有了一定的了解,在选择口腔护理产品时,应按照个人口腔健康状况选择合适的牙膏和漱口水。一些产品专为敏感牙齿设计,而一些则具备强化牙齿的功能。更多全瓷牙修复问题请了解下方在线客服。
温馨提示:口腔出现问题,需要及时修复,不然会导致问题越来越严重,如果您有这方面的需求,您可以联系我:135XXXXXXXX(点击电话即可复制),或者在下方在线留言。
标签:吗(28203)牙(31902)面的(1737)怎么办(15775)烂掉(110)全瓷(8180)里(219)牙会(356)搭桥(40)