伴随着人们对口腔美学要求的不断增加,全瓷牙作为一种高端的修复办法,以其无金属、无过敏、贴近自然牙齿的特点,成为了现代人们追求完美笑容的首选。那么全瓷牙没粘好是什么感觉?以下中老年口腔小编带您详细了解一下

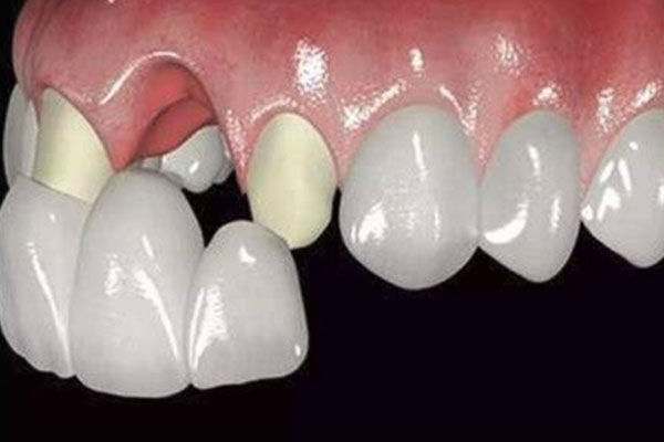
全瓷牙没粘好又下不下来怎么办
全瓷牙没粘好又下不下来可能需要拆掉全瓷冠,重新制作模型。若全瓷牙不紧,边缘有微渗漏,边缘不紧,会造成食物残渣嵌塞,长时间后可能发生继发龋齿。在这种情况下需要去医院重新检查,看看边缘是否有缝隙和不紧密,若不是可能是心理作用,若出现问题可能需要移除全瓷冠并制作一个新模型。
松动的牙齿,临床上是不建议做烤瓷牙的,因为牙齿出现松动,是因为牙齿出现或者牙周、牙体的问题,应该针对牙齿的松动进行疾病的察看以及治疗。如果没有针对松动进行处理就制作烤瓷牙,可能制作烤瓷牙在使用过程中松动进一步明显,最后导致牙体脱落,有可能会造成烤瓷牙制作浪费的情况。还有临床上特殊的情况,可以考虑应用烤瓷牙的连冠来进行松动牙的固定,如果临床上某一颗牙齿,由于一度松动,而正好其邻近的牙齿需要做烤瓷牙的连冠,可以考虑应用烤瓷冠桥来固定松动的牙齿,前提是松动牙齿牙周已经得到良好的治疗。
全瓷牙没粘好能重新粘吗
全瓷牙没粘好又下不下来可能需要拆掉全瓷冠,重新制作模型。若全瓷牙不紧,边缘有微渗漏,边缘不紧,会造成食物残渣嵌塞,长时间后可能发生继发龋齿。在这种情况下需要去医院重新检查,看看边缘是否有缝隙和不紧密,若不是可能是心理作用,若出现问题可能需要移除全瓷冠并制作一个新模型。
烤瓷牙能做核磁吗
戴有烤瓷牙的患者能否做核磁共振检查与烤瓷牙的种类相关。传统烤瓷牙是以金属做修复体,如患者进行核磁共振检查,会产生磁共振伪影,并干扰颅内病变及颈部病变的观察,可能导致误诊、漏诊,不利于临床诊断。
因此,戴金属烤瓷牙的患者一般不能进行核磁检查;戴合金烤瓷牙的患者进行检查时,磁共振伪影相对较少;全瓷烤瓷牙一般不会对核磁共振检查造成影响。
全瓷牙没粘好又下不下来怎么办
全瓷牙没粘好又下不下来可能需要拆掉全瓷冠,重新制作模型。若全瓷牙不紧,边缘有微渗漏,边缘不紧,会造成食物残渣嵌塞,长时间后可能发生继发龋齿。在这种情况下需要去医院重新检查,看看边缘是否有缝隙和不紧密,若不是可能是心理作用,若出现问题可能需要移除全瓷冠并制作一个新模型。
影响咬合能力假牙的主要作用是取代缺失的牙齿,恢复咬合能力。要是不戴假牙,就没有办法有效地咬合食物,这会会使食物不能被充分嚼碎,使得增多胃肠道的负担,影响营养的汲取。全瓷牙修复相对于保护口腔健康也至关关键。全瓷牙不会对牙龈造成刺激,减少了牙龈炎症的几率,有利于维护良好的口腔卫生。有关阅读:全瓷牙需要磨多少次?中老年口腔为您解答
浏览本文,想必大家都对全瓷牙没粘好是什么感觉有了一定的了解,良好的饮食习惯对预防修牙至关重要。减少糖分和酸性食物的摄入,可以帮助保护牙齿免受腐蚀。而且,增多富含钙和磷的食物,如奶制品和坚果,有助于强化牙齿结构,减少因营养不足使得的牙齿问题。有关全瓷牙修复问题,请点击下方在线客服询问。
温馨提示:口腔出现问题,需要及时修复,不然会导致问题越来越严重,如果您有这方面的需求,您可以联系我:135XXXXXXXX(点击电话即可复制),或者在下方在线留言。
标签:随着(4071)伴(2558)是什么(9586)全瓷(8180)牙没(47)图片(12673)粘好(18)感觉(404)