随着生活经验的提升和人们审美观念的改变,对牙齿修复的要求也越来更高。全瓷牙作为一种高端口腔修复材质,以其出色的性能和效果,满足了人们对牙齿修复的高品质需求。它不仅可以完美修复牙齿缺损,更可以提升牙齿的整体美观度。那么全瓷牙戴上后多久适应正常?接下来中老年口腔的小编就带您一起去了解一下

全瓷牙刚戴上多久可以粘死
全瓷牙刚戴上一般需要1周到3个月左右的时间可以粘死,具体的时间需要根据患者的情况进行判断。
烤瓷牙能用多久
根据临床观察一般烤瓷牙的正常使用寿命为8年。实际使用也可为10到20年,因此可终身使用的说法为谬误。烤瓷牙的使用周期与医生牙齿设计,患者的牙根与牙齿情况。牙齿使用方法及注意事项等相关,若烤瓷牙颈部出现食物严重堵塞,以及颈部暴露,龋坏,崩瓷或影响美观时。建议重新制作烤瓷牙。烤瓷牙在使用过程中,应该保持良好的习惯,可延长牙齿使用的寿命。
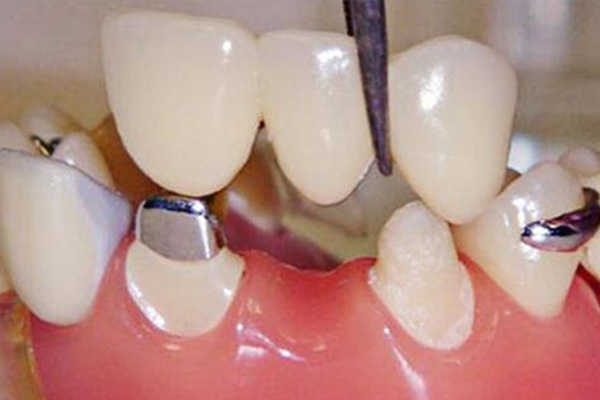
全瓷牙戴上多久能舒适
全瓷牙刚戴上一般需要1周到3个月左右的时间可以粘死,具体的时间需要根据患者的情况进行判断。
烤瓷牙套里的牙烂了怎么办
烤瓷牙套里面的牙烂了,可以先找修复科的大夫把烤瓷牙套去掉,再去拍摄X线片搞清楚牙齿的问题出在哪里,如果有根尖炎或者牙髓炎,这种情况下要做管治疗。
如果是残髓炎也需要把里面充填的物质取出,再重新做根管治疗,之后在治好的牙齿上面再重新做个烤瓷冠即可。
全瓷牙刚戴上多久可以粘死
全瓷牙刚戴上一般需要1周到3个月左右的时间可以粘死,具体的时间需要根据患者的情况进行判断。
假牙能改善个人的生活质量。不戴假牙会使生活质量下降,影响个人的身心健康。全瓷牙修复在预防口腔问题方面表现着关键作用。通过马上修复损坏的牙齿,全瓷牙能够防止牙齿问题的进一步变化,如虫牙、牙周病等,因此维护口腔的健康状态。有关阅读:全瓷牙对做磁共振和ct有影响吗
通过上文,想必大家都对全瓷牙戴上后多久适应正常有了一定的了解,保持良好的口腔卫生习惯是预防修牙的关键。每天早晚刷牙,使用牙线和漱口水,定期洗牙,以清除牙齿表面的污垢和细菌。有关全瓷牙修复问题,请访问下方在线客服询问。
温馨提示:口腔出现问题,需要及时修复,不然会导致问题越来越严重,如果您有这方面的需求,您可以联系我:135XXXXXXXX(点击电话即可复制),或者在下方在线留言。
标签:牙(31902)多久(6565)后(7565)随着(4071)正常(5188)全瓷(8180)吃饭(458)戴上(102)适应(70)