在镶牙以前,患者要和牙医进行详细的咨询,以确定最适合自己情形的诊治方法。这通常涉及到对患者口腔健康状况的全面评估,以及对未来诊治疗效的预期讨论。那么牙周炎牙龈萎缩松动是不是镶牙了呀?接下来小编就带各位一同去了解一下

镶牙后牙龈萎缩怎么办
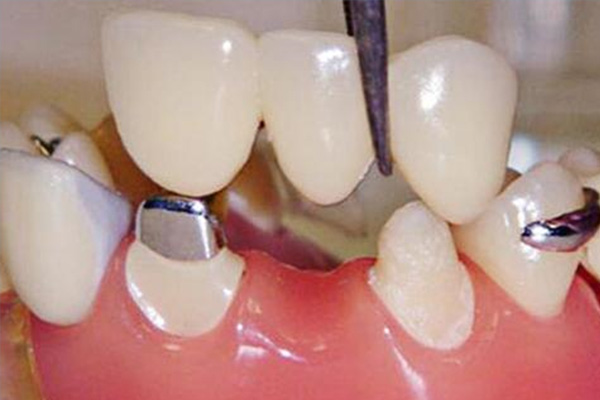
牙周炎引起的牙龈萎缩和牙齿松动是否需要拔牙需根据病情严重程度及影响因素而定。
牙周炎导致的牙龈萎缩和牙齿松动可能是由于牙槽骨吸收所致。如果病变较轻且经过专业治疗,可能不需要拔牙;但如果病变进展迅速或严重影响咀嚼功能,则可能需要拔牙以保护剩余的健康牙齿。患者应定期检查并接受专业治疗,以减少拔牙的风险。
此外,若存在不良修复体、咬合干扰等问题,也可能加速牙周组织破坏,此时应及时去除不良因素,并进行适当的修复治疗。
建议患者保持良好的口腔卫生习惯,定期到医院进行口腔检查和清洁,避免食用过硬食物,以免加重牙齿损伤。同时,注意调整饮食结构,增加富含维生素C和D的食物摄入,有助于增强牙周组织的抵抗力。
钴铬烤瓷牙用什么消毒
钴铬烤瓷牙一般可以用医用酒精消毒。因为烤瓷牙是在加工厂经过一系列的流程制作后最终完成,然后戴入患者口腔里,所以使用医用酒精消毒并不会对身体产生较大影响,最好使用75%的酒精搽拭钴铬烤瓷牙后,再用粘接剂将烤瓷牙粘在患者口腔内。在使用医用酒精消毒前,最好询问患者是否对酒精有过敏现象。口腔里消毒可以用专业漱口水或者稀碘伏,平时刷牙的时候使用含氟的牙膏,也能起到清洁牙齿防龋的作用,使用洁牙粉也不会对牙齿造成损伤。安装上钴铬烤瓷牙后,如果咬过于坚硬的东西,很有可能会出现崩瓷的现象。
牙周炎牙龈萎缩牙齿松动该怎么办
牙周炎引起的牙龈萎缩和牙齿松动是否需要拔牙需根据病情严重程度及影响因素而定。
牙周炎导致的牙龈萎缩和牙齿松动可能是由于牙槽骨吸收所致。如果病变较轻且经过专业治疗,可能不需要拔牙;但如果病变进展迅速或严重影响咀嚼功能,则可能需要拔牙以保护剩余的健康牙齿。患者应定期检查并接受专业治疗,以减少拔牙的风险。
此外,若存在不良修复体、咬合干扰等问题,也可能加速牙周组织破坏,此时应及时去除不良因素,并进行适当的修复治疗。
建议患者保持良好的口腔卫生习惯,定期到医院进行口腔检查和清洁,避免食用过硬食物,以免加重牙齿损伤。同时,注意调整饮食结构,增加富含维生素C和D的食物摄入,有助于增强牙周组织的抵抗力。
烤瓷牙坏了怎么换
如果烤瓷牙坏了要到医院进行详细的检查,明确烤瓷牙、基牙情况。通常有两种情况,如果烤瓷牙坏了,出现了崩瓷,单纯烤瓷牙坏和基牙没有什么疾病,基牙比较良好,可以把烤瓷牙拆掉或剖开牙冠,分为两部分,把烤瓷牙取下。重新取模,重铸烤瓷牙,进行修复。
另外一种情况烤瓷牙坏了,基牙出现牙髓炎,根尖周炎症状,要重新进行根管治疗,取模做牙套进行修复。
牙周炎牙龈萎缩牙齿松动需要拔牙吗
牙周炎引起的牙龈萎缩和牙齿松动是否需要拔牙需根据病情严重程度及影响因素而定。
牙周炎导致的牙龈萎缩和牙齿松动可能是由于牙槽骨吸收所致。如果病变较轻且经过专业治疗,可能不需要拔牙;但如果病变进展迅速或严重影响咀嚼功能,则可能需要拔牙以保护剩余的健康牙齿。患者应定期检查并接受专业治疗,以减少拔牙的风险。
此外,若存在不良修复体、咬合干扰等问题,也可能加速牙周组织破坏,此时应及时去除不良因素,并进行适当的修复治疗。
建议患者保持良好的口腔卫生习惯,定期到医院进行口腔检查和清洁,避免食用过硬食物,以免加重牙齿损伤。同时,注意调整饮食结构,增加富含维生素C和D的食物摄入,有助于增强牙周组织的抵抗力。
牙齿缺少后,要是不马上镶牙,会影响面部美观。缺少牙齿部位可能出现塌陷,使面部轮廓变得不协调,影响个人形象。特别是相对前牙缺少的情况,更容易让人造成自卑心理。镶牙可以增强自信心,让口腔患者更为积极地面对生活和工作。有关阅读:最里面的牙拔掉了需要镶牙吗
通过上文,想必大家都对牙周炎牙龈萎缩松动是不是镶牙了呀有了一定的了解,对于已经缺失的牙齿,应及时采用修复方法。长时间缺少牙齿可能会造成邻牙移位、对颌牙伸长等问题,增加镶牙的难度和几率。所以,选择适合的修复方法,如种植牙、烤瓷牙等,尽快恢复牙齿能力和美观。有关镶牙问题,请进入下方在线客服了解。
温馨提示:口腔出现问题,需要及时修复,不然会导致问题越来越严重,如果您有这方面的需求,您可以联系我:135XXXXXXXX(点击电话即可复制),或者在下方在线留言。
标签:牙周炎(4525)松动(4721)镶牙(5705)在(16870)了(4940)牙龈(10617)萎缩(4308)是不是(1173)呀(4933)