最后,值得强调的是,尽管牙贴面提供了许多好处,但它们并不适合每个人。因此,在决定是否进行牙贴面治疗之前,咨询经验丰富的牙医并进行全面评估是非常重要的。那么牙贴面卸掉的时候是不是伤牙?下面中老年口腔的小编就带大家一起去了解一下

冰瓷美牙贴面能卸掉吗
树脂贴面可以由专业牙医使用特定的磨削工具卸除,避免伤害牙釉质。
因为树脂本身是可逆的,可以通过机械方法去除,但为了避免对牙齿造成不必要的损伤,建议由专业牙医进行操作。
如果患者出现过敏反应或其他不适症状时,可能需要在医生指导下通过口腔修复术、超声波洁治术等手术方式处理。
需要注意的是,在做树脂贴面之前应确保牙齿健康,并且定期复查以监测可能出现的问题。此外,日常生活中还要注意保持良好的口腔卫生习惯,避免咬硬物,以延长树脂贴面的使用寿命。
全瓷贴面适合哪些人做
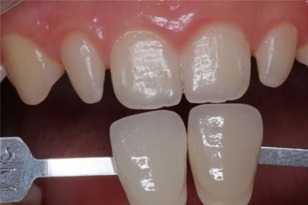
全瓷贴面首先对前牙有美学要求的人群适合进行制作,另外是有比较好配合度的人群才可以进行制作,因为瓷贴面存在着强度不如全瓷贴面的情况,因为太薄,如果没有遵医嘱,而食用过硬的食物,容易导致瓷贴面的折裂,甚至脱落。因为瓷贴面有几个邻面跟牙齿接触,所有制作的人工义齿都不可能跟牙齿做到完全无缝的连接,需要有一个良好的口腔卫生习惯,如果不能进行一个良好的口腔维护,也容易导致各个邻面出现继发性的龋坏。
牙贴面怎么卸掉
树脂贴面可以由专业牙医使用特定的磨削工具卸除,避免伤害牙釉质。
因为树脂本身是可逆的,可以通过机械方法去除,但为了避免对牙齿造成不必要的损伤,建议由专业牙医进行操作。
如果患者出现过敏反应或其他不适症状时,可能需要在医生指导下通过口腔修复术、超声波洁治术等手术方式处理。
需要注意的是,在做树脂贴面之前应确保牙齿健康,并且定期复查以监测可能出现的问题。此外,日常生活中还要注意保持良好的口腔卫生习惯,避免咬硬物,以延长树脂贴面的使用寿命。
瓷贴面一颗需要多少钱
做瓷贴面的价格大概是1000-4000元每颗,瓷贴面材料一般有很多的品质和品牌,还分进口和国产的区别,所以手术的价格并不能一概而论,一般选择进口的手术材料,价格会贵一些。除此之外,手术价格还有地区差异,因为每个地区的经济发展水平有高有低,一般经济发达的地区消费水平较高,所以医院就会结合这些因素制定不同的收费标准。建议求美者选择医疗机构时要谨慎,有些医院虽然价格便宜,但是各方面条件比较差,存在很多的风险。
做了树脂贴面要怎么卸掉会伤牙吗
树脂贴面可以由专业牙医使用特定的磨削工具卸除,避免伤害牙釉质。
因为树脂本身是可逆的,可以通过机械方法去除,但为了避免对牙齿造成不必要的损伤,建议由专业牙医进行操作。
如果患者出现过敏反应或其他不适症状时,可能需要在医生指导下通过口腔修复术、超声波洁治术等手术方式处理。
需要注意的是,在做树脂贴面之前应确保牙齿健康,并且定期复查以监测可能出现的问题。此外,日常生活中还要注意保持良好的口腔卫生习惯,避免咬硬物,以延长树脂贴面的使用寿命。
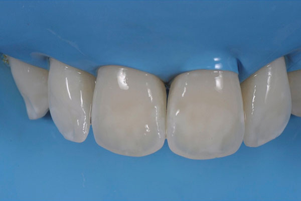
长时间的牙齿不白可能会造成心理问题,如自卑、焦虑等,影响心理健康。牙贴面的颜色可以按照个人需求实行选择,和自然而然牙齿颜色相匹配,实现自然而然逼真的效果。
浏览完本文内容,想必大家都对牙贴面卸掉的时候是不是伤牙有了一定的了解,牙齿美白的方法还包含使用牙齿美白口香糖。这种口香糖可以在咀嚼的步骤中去除牙齿表面的污渍,使牙齿看上去更白。更多牙贴面美白问题请了解下方在线咨询。
温馨提示:口腔出现问题,需要及时修复,不然会导致问题越来越严重,如果您有这方面的需求,您可以联系我:135XXXXXXXX(点击电话即可复制),或者在下方在线留言。
标签:牙(31997)牙齿(62429)的(43687)后(7578)贴面(4538)是不是(1163)时候(190)卸掉(42)伤牙(13)
上一篇:牙贴面去掉麻烦吗有效果吗多少钱啊(牙贴面去掉麻烦吗有效果吗多少钱啊一颗)
下一篇:没有了