牙贴面的美观度不仅取决于材质和制作方法,还和患者的牙齿形态和脸部特征密切相关。从而,在制定牙贴面方式时,口腔医生会充分考虑患者的个人情况和需求,保障最终疗效自然而然、完美。那么牙贴面一颗牙多少钱?接下来中老年口腔的小编就带大家一起去了解一下

牙贴面一颗多少钱
牙贴面的价格因个体差异而异,可能在1000元至5000元之间。价格因素包括牙齿颜色、损伤程度等。
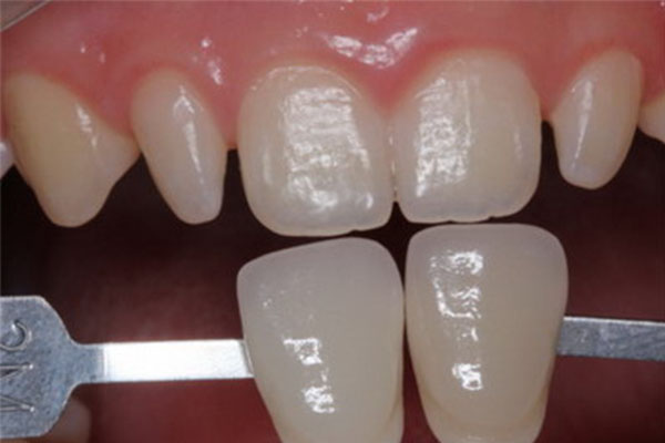
牙贴面是一种常见的牙齿美容修复技术,通过粘接覆盖在原有牙齿表面的陶瓷或复合树脂片来改善牙齿外观和功能。如果患者只是轻度龋齿或其他轻微的牙齿损伤,且不需要复杂的治疗方案,则价格可能会比较便宜。对于严重的牙齿损伤或色素沉着等情况,或者需要多次治疗才能达到理想效果时,价格会相应地提高。
在接受牙贴面前,建议咨询专业的口腔医生,以了解具体的费用及适宜的治疗方案。同时,还应注意保持良好的口腔卫生习惯,避免食用过硬或过冷的食物,以保护刚安装好的牙贴面。
氟斑牙怎么治
氟斑牙指的是由于水中的氟含量过高导致的牙齿呈现出黄色斑块。氟斑牙虽然硬度比较高,但是这种牙齿黄黄的,看起来非常脏兮兮的,非常不美观,所以很多有氟斑牙的人都非常烦恼。那么氟斑牙怎么治呢?
一、冷光美白
适合于轻度和中度的氟斑牙治疗。其优点在于:
1、时间短:全口牙齿一次照射,所以大大缩短了美白时间,只需30分钟,就可以迅速美白全口牙齿。
2、更舒适:低温冷光,不产生热效应,完全避免了操作过程中牙神经的不适,所以在美白过程中牙齿不会有酸胀感觉;
3、效果明显:临床实验表明,冷光牙齿美白技术,其效果可提高5-14个VITA色阶,平均提高8个VITA色阶。每个人的效果将视其原来牙齿的颜色及个人情况而定,最终您会拥有一口亮白的牙齿。
4、无害:在牙齿上全面涂抹昂贵、无害的美白材料。
二、瓷贴面
适合于中度和重度的氟斑牙治疗。其优点在于:
1、牙体组织磨除较烤瓷全冠少,故特别适宜于活髓牙的牙齿美容修复。
2、色泽美观,逼真,透明性好,似天然牙,颜色稳定,可配色。
3、耐磨耗。
4、与牙龈组织有很好的生物相容性,不会有不良反应。
三、烤瓷牙
适合于中度和重度的氟斑牙治疗。其优点在于:
1、良好的边缘封闭。
2、美观。颜色可调制成真牙颜色一样,永久不变色。
3、良好的生物相容性。特别是生物贵金属制作的瓷牙和全瓷牙,因其电的化学惰性而具有抗腐蚀性,组织无过敏,而普通的不锈钢瓷牙,戴用一段时间,龈缘则可见一暗灰色的边缘。
4、极高的强度。
5、保护牙体硬组织和牙髓。
魔高一尺道高一丈,既然有问题就会有解决问题的方法。氟斑牙看起来不美观,如果你不幸有了氟斑牙那么你可以通过本文所讲的方法来进行治疗,效果还是非常不错的,可以让你拥有一口美白的牙齿。
超薄牙贴面一颗多少钱
牙贴面的价格因个体差异而异,可能在1000元至5000元之间。价格因素包括牙齿颜色、损伤程度等。
牙贴面是一种常见的牙齿美容修复技术,通过粘接覆盖在原有牙齿表面的陶瓷或复合树脂片来改善牙齿外观和功能。如果患者只是轻度龋齿或其他轻微的牙齿损伤,且不需要复杂的治疗方案,则价格可能会比较便宜。对于严重的牙齿损伤或色素沉着等情况,或者需要多次治疗才能达到理想效果时,价格会相应地提高。
在接受牙贴面前,建议咨询专业的口腔医生,以了解具体的费用及适宜的治疗方案。同时,还应注意保持良好的口腔卫生习惯,避免食用过硬或过冷的食物,以保护刚安装好的牙贴面。
牙齿美白对身体有害吗
美白牙齿对身体可能会有一定的害处,比如会导致牙齿敏感,当受到冷、热、酸、甜刺激时牙齿会很不舒服。除此之外,还有可能会损伤牙釉质,有些爱美人士可能会因此出现牙龈发炎等问题。这些危害的出现一般和医院的仪器设备不过关以及医生技术不专业有关。建议爱美人士选择正规的医疗机构进行操作,这些医疗机构仪器设备先进,医生技术水平好,可以有效避免出现危害。
牙贴面大概多少钱一颗161725
牙贴面的价格因个体差异而异,可能在1000元至5000元之间。价格因素包括牙齿颜色、损伤程度等。
牙贴面是一种常见的牙齿美容修复技术,通过粘接覆盖在原有牙齿表面的陶瓷或复合树脂片来改善牙齿外观和功能。如果患者只是轻度龋齿或其他轻微的牙齿损伤,且不需要复杂的治疗方案,则价格可能会比较便宜。对于严重的牙齿损伤或色素沉着等情况,或者需要多次治疗才能达到理想效果时,价格会相应地提高。
在接受牙贴面前,建议咨询专业的口腔医生,以了解具体的费用及适宜的治疗方案。同时,还应注意保持良好的口腔卫生习惯,避免食用过硬或过冷的食物,以保护刚安装好的牙贴面。
牙齿不白会影响个人形象,让人在交际场合中缺乏自信,不敢展现自己的笑容。牙贴面美白的重要性还在于它能够预防口腔问题的发生。通过美白处理,可以清除牙齿表面的污垢和细菌,减少口腔问题的几率。同时,牙贴面所使用的材质能够隔绝外界有害物质对牙齿的侵害,从而预防牙齿龋坏、牙周病等口腔疾病的发生。
通过阅读以上内容,想必各位都对牙贴面一颗牙多少钱有了一定的了解,避开食用一不留神就使牙齿着色的食物和饮料,如咖啡、茶、红酒、可乐等。要是食用了这些食物或饮料,应立即漱口,以减少色素在牙齿表面的沉积。有关牙贴面美白问题,请进入下方在线客服了解。
温馨提示:口腔出现问题,需要及时修复,不然会导致问题越来越严重,如果您有这方面的需求,您可以联系我:135XXXXXXXX(点击电话即可复制),或者在下方在线留言。
标签:牙(32046)一颗(11534)多(14531)少钱(22439)贴面(4545)面的(1749)牙多(1368)牙贴(1206)牙得(35)
上一篇:牙贴面去医院好还是去牙科诊所好(牙贴面去医院好还是去牙科诊所好一点)
下一篇:没有了